Дали имате прашање? Оставете прашање и ќе добиете одговор што е можно поскоро.
Испрати барањеNë një botë ku buzëqeshja e shëndetshme dhe e bukur është simbol i vetëbesimit dhe mirëqenies, klinika më e mirë në Maqedoni përfaqëson vendin ku kujdesi për shëndetin tuaj oral shndërrohet në art. Me përvojë shumëvjeçare, teknologji bashkëkohore dhe ekspertë të kualifikuar, kjo klinikë dentare bashkon shkencën, estetikën dhe ngrohtësinë njerëzore në një qëllim të vetëm – të krijojë buzëqeshje që ndriçojnë dhe zgjasin për një jetë të tërë.
Që nga momenti i parë i kontaktit e deri në përfundimin e trajtimit, çdo pacient ndjehet i sigurt, i respektuar dhe plotësisht i përfshirë në procesin e kujdesit për shëndetin e tij.

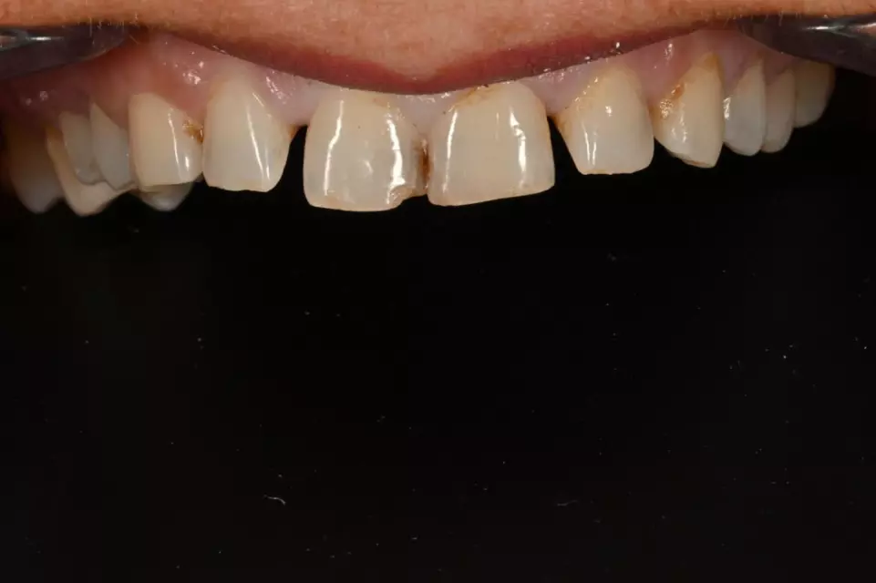
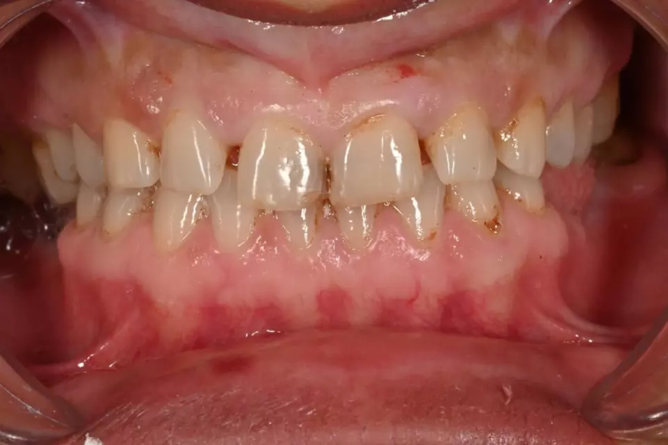
Kur bëhet fjalë për shëndetin dhe pamjen tuaj, besimi është gjithçka. Klinika më e mirë në Maqedoni prej vitesh vendos standarde të reja në fushën e stomatologjisë, duke ofruar një gamë të plotë shërbimesh për fëmijë dhe të rritur.
Misioni ynë është i thjeshtë, por i fuqishëm – të krijojmë buzëqeshje të shëndetshme dhe të lumtura që zgjasin përgjithmonë.
🦷 Shërbimet tona përfshijnë:
Kiriurgji: Ndërhyrje precize dhe pa dhimbje, të kryera nga kirurgë të licencuar me teknika moderne.
Protetikë: Krijim i protezave estetike dhe funksionale, kurorave dhe urave që përshtaten në mënyrë perfekte.
Ortodoncë: Drejtim i dhëmbëve dhe përmirësim i përtypjes me aparate fikse ose mobile bashkëkohore.
Ro-grafi: Imazhe digjitale të detajuara për diagnostikim të saktë dhe planifikim efikas të trajtimit.
Implante: Zëvendësim modern i dhëmbëve të humbur me pamje natyrale dhe qëndrueshmëri të lartë.
Profilaksi: Kujdes parandalues, pastrim profesional dhe polirim për buzëqeshje rrezatuese.
💎 Pse të zgjidhni pikërisht klinikën tonë?
Përdorim i teknologjisë më të avancuar dentare dhe materialeve të certifikuara nga marka evropiane.
Çdo trajtim është personalizuar sipas nevojave dhe karakteristikave tuaja.
Ambient modern që ofron rehati, siguri dhe qetësi – pa frikë nga dentisti.
Ekip profesionistësh me përkushtim, eksperiencë dhe qasje njerëzore ndaj çdo pacienti.
🩺 Me kliniken më të mirë në Maqedoni, shëndeti juaj është në duar të sigurta.
Qoftë për estetikë perfekte, zgjidhje funksionale apo thjesht kontroll periodik – ne jemi këtu për ju me kujdes, profesionalizëm dhe buzëqeshje.
📞 Na kontaktoni menjëherë në +389 78 800 555 dhe caktoni kontrollin tuaj të parë falas – sepse çdo buzëqeshje meriton kujdesin më të mirë!
Доколку сте заинтересирани за производите или услугите на оваа компанија, оставете коментар и ќе ви биде одговорено во најкраток можен рок. Прашањата ќе бидат објавени ЈАВНО на огласот на кој ги пишувате. Телефонскиот број и адресата на е-пошта не се задолжителни информации. Оваа информација нема да биде јавно објавена. Со поднесување на барање, се согласувате со деловните услови, политиката за приватност и обработката на вашите податоци.
Лабораторија за испитување на храна вода и пестициди Струмица
БУЛЕВАР ГОЦЕ ДЕЛЧЕВ 127 Г, 2400 Струмица
Maticen lekar za deca i vozrasni Kocani
29-ТИ НОЕМВРИ 91, 2300 Кочани
Гинеколошки прегледи Скопје
БЛЕДСКИ ДОГОВОР бр.2, 1000 Карпош
Praktikat e mjekësisë së përgjithshme dhe mjekësisë së punës në Tetovë
ЖЕЛИНО КП 752/3., 1226 Желино
Висококвалитетнин производи природна и здрава храна Штип
СТРАШО ПИНЏУР бр.50, 2000 Штип
Оценете ја компанијата и напишете го вашето мислење за соработката.